Alcoholic hepatitis is hepatitis (inflammation of the liver) due to excessive intake of alcohol. It is usually found in association with hepatosteatosis, an early stage of alcoholic liver disease, and may contribute to the progression of fibrosis, leading to cirrhosis . Symptoms are jaundice, ascites (fluid accumulation in the abdominal cavity), fatigue and hepatic encephalopathy (brain dysfunction due to liver failure). Mild cases are self-limiting, but severe cases have a high risk of death. Severe cases may be treated with glucocorticoids.
Symptoms and signs
Alcoholic hepatitis is characterized by a variable constellation of symptoms, which may include feeling unwell, enlargement of the liver, development of fluid in the abdomen (ascites), and modest elevation of liver enzyme levels (as determined by liver function tests). Alcoholic hepatitis can vary from mild with only liver enzyme elevation to severe liver inflammation with development of jaundice, prolonged prothrombin time, and even liver failure. Severe cases are characterized by either obtundation (dulled consciousness) or the combination of elevated bilirubin levels and prolonged prothrombin time; the mortality rate in both severe categories is 50% within 30 days of onset.
Alcoholic hepatitis is distinct from cirrhosis caused by long-term alcohol consumption. Alcoholic hepatitis can occur in patients with chronic alcoholic liver disease and alcoholic cirrhosis. Alcoholic hepatitis by itself does not lead to cirrhosis, but cirrhosis is more common in patients with long term alcohol consumption. Some alcoholics develop acute hepatitis as an inflammatory reaction to the cells affected by fatty change. This is not directly related to the dose of alcohol. Some people seem more prone to this reaction than others. This is called alcoholic steatonecrosis and the inflammation probably predisposes to liver fibrosis.
Diagnosis
The diagnosis is made in a patient with history of significant alcohol intake who develops worsening liver function tests, including elevated bilirubin and aminotransferases. The ratio of aspartate aminotransferase to alanine aminotransferase is usually 2 or more. In most cases, the liver enzymes do not exceed 500. The changes on liver biopsy are important in confirming a clinical diagnosis.
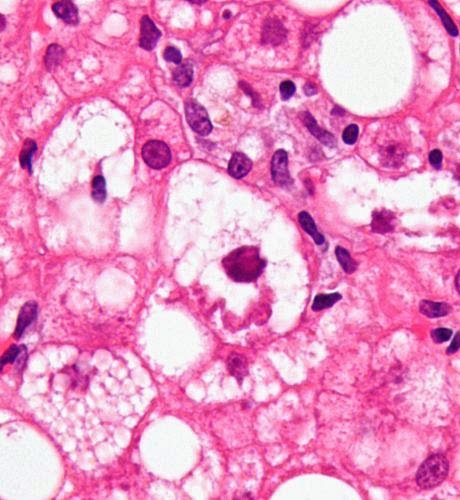
Pathophysiology
Some signs and pathological changes in liver histology include:
- Mallory's hyaline body - a condition where pre-keratin filaments accumulate in hepatocytes. This sign is not limited to alcoholic liver disease, but is often characteristic.
- Ballooning degeneration - hepatocytes in the setting of alcoholic change often swell up with excess fat, water and protein; normally these proteins are exported into the bloodstream. Accompanied with ballooning, there is necrotic damage. The swelling is capable of blocking nearby biliary ducts, leading to diffuse cholestasis.
- Inflammation - neutrophilic invasion is triggered by the necrotic changes and presence of cellular debris within the lobules. Ordinarily the amount of debris is removed by Kupffer cells, although in the setting of inflammation they become overloaded, allowing other white cells to spill into the parenchyma. These cells to hepatocytes with Mallory bodies.
If chronic liver disease is also present:
- Fibrosis
- Cirrhosis - a progressive and permanent type of fibrotic degeneration of liver tissue.
Treatment and management
Clinical practice guidelines by the American College of Gastroenterology recommend corticosteroids. Patients should be risk stratified using a MELD Score or Child-Pugh score.
Corticosteroids
Patients with a modified Maddrey's discriminant function score > 32 or hepatic encephalopathy should be considered for treatment with prednisolone 40Â mg daily for four weeks followed by a taper.
Pentoxifylline
A randomized controlled trial found that among patients with a discriminant function score > 32 and at least one of the following symptoms (palpable tender hepatomegaly, fever, leukocytosis, hepatic encephalopathy, or hepatic systolic bruit), 4.6 patients must be treated with pentoxifylline 400Â mg orally 3 times daily for 4 weeks to prevent one patient from dying.
